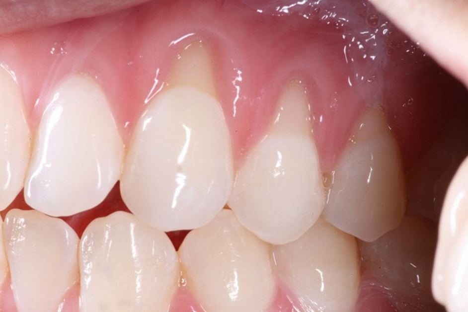
A tooth is anchored in bone, and the gum (gingiva) forms a protective collar around the neck of the tooth. In some circumstances, the gums recede, exposing the tooth’s root, leading to a condition called gingival recession.
The signs and symptoms include sensitive, loose or longer looking teeth, gums that bleed easily and cavities that develop below the gum line. If left untreated, the supporting structures of the teeth can be severely damaged and may ultimately result in tooth loss.
Ideally your smile should reveal very little gum, and visible tissue should look balanced and even in contrast with your upper lip.
Your optimal smile will depend on the shape of your teeth and their size, as well as the shape and size of your lips. Luckily a gummy smile is something that can be corrected through cosmetic periodontal treatment.
There are several factors that can cause gums to recede, including:
AGGRESSIVE TOOTH BRUSHING:
If you brush your teeth too hard or follow an incorrect brushing technique, your gums may recede. Typically, a notch can be felt near the gum line. The recession is usually visible on the side of the tooth facing the lip.
PERIODONTAL DISEASE:
The supporting structures of the tooth are called the periodontium. Disease-causing microorganisms can cause destruction of the periodontium, leading to periodontal disease. Poor oral hygiene, smoking and diabetes are some of the risk factors for periodontal disease. Poor oral hygiene makes it easy for plaque to turn into calculus (tartar) — a hard substance that builds on and between your teeth. Tobacco users are more likely to have sticky plaque on their teeth that is difficult to remove. The loss of hard and soft tissue around the tooth due to periodontal disease is the cause of gum recession. This type of recession is typically seen on all sides of the tooth.
GENETIC FACTORS:
Some people may be more susceptible to gingival recession due to their genetic predisposition. Their gums and the underlying bone tend to be thin, making it more prone to recession following trauma.
Crooked teeth or a misaligned bite: When teeth do not come together evenly, too much force can be placed on the gums and bone, allowing gums to recede. Also, when the upper teeth excessively overlap the lower teeth (deep bite), the edges of the upper teeth may traumatise the lower gums causing recession.
OTHER FACTORS:
An abnormal frenum (muscle) attachment, fingernail induced trauma and improper flossing (i.e., flossing too roughly or aggressively) are also factors that can contribute to gingival recession.
There are several types of gum tissue graft procedures for covering the recession defect. The most frequently used one is called a connective tissue graft. In this procedure, a small piece of tissue is removed from the palate and then stitched to the gum tissue surrounding the exposed root. The healing is complete in a few weeks. It is possible to attain complete coverage of the root to regain aesthetics and function.
Here are some recommendations to help you prevent gum recession:
Crown lengthening is generally performed in order to improve the health of the gum tissue, or to prepare the mouth for restorative or cosmetic procedures.
In addition, crown lengthening procedures can also be used to correct a “gummy” smile, where teeth are covered with excess gum tissue.
Crown lengthening exposes more of the natural tooth by reshaping or recontouring bone and gum tissue.
This treatment can be performed on a single tooth, many teeth or the entire gum line, to expose a pleasant, aesthetically pleasing smile.
Reasons for crown lengthening
Restoration of damaged teeth – Periodontal disease can cause severe damage to the teeth, as can trauma and decay.
Where teeth have been broken beneath the gum line, crown lengthening can be used to prepare the area for a new restoration to correct the damaged teeth.
Cosmetic uses – Extra gum tissue can make teeth look unnaturally short, and also increase susceptibility to periodontal infections. Removing excess gum tissue can restore a balanced, healthy look and thus improve the aesthetic appearance of the smile.
Dental crowns – Crown lengthening serves to provide more space between the supporting jawbone and dental crown. This prevents the new crown from damaging gum tissues and bone once it is in place.
What does crown lengthening involve?
Any crown lengthening procedure is normally performed under local anesthetic.
The amount of time this procedure takes will largely depend in how many teeth are involved and whether a small amount of bone needs to be removed, in addition to the soft tissue.
Dr Chandran will explain the process in detail during your consultation visit prior to the surgery.
The pinhole surgical technique is a minimally invasive procedure for correcting gum recession and saving teeth. Since it is a minimally invasive procedure, patients can expect minimal post-operative symptoms like pain swelling and bleeding.
The benefits of Pinhole surgery are: